Перейти к контенту
Новости сегодня
Новости России
Авто Новости
Новости Карелии
Women
Всё о Детях
Домоводство
Здоровье
Красота и Мода
Идеи маникюра
Уход за Волосами
Уход За Лицом
Уход За Телом
Семья и Отношения
Лучшие Рецепты
Фитнес
Hi-Tech
Селебрити
Search for:
Главная
»
Women
Women
Всё о Детях
Домоводство
Здоровье
Идеи маникюра
Красота и Мода
Лучшие Рецепты
Семья и Отношения
Уход за Волосами
Уход За Лицом
Уход За Телом
Фитнес
Здоровье
Лучшие аппараты лимфодренажные: обзор, описание и виды
Уход за Волосами
Прически для женщин 50 лет: разнообразие форм и вариантов, подбор под форму лица, выбор челки, длины и цвета волос
Семья и Отношения
12 советов «разведенки» замужним женщинам
Идеи маникюра
Модный антивозрастной маникюр: 5 оттенков лака, которые вернут молодость вашим рукам.
Лучшие Рецепты
Сырные рулеты с начинкой
Лучшие Рецепты
Только под конец лета поняла, почему шашлык у меня часто получался «не очень». Делюсь открытием
Здоровье
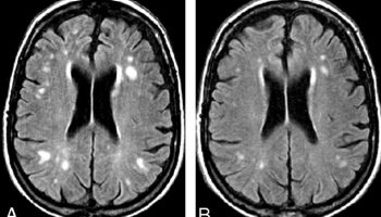
Очаговые поражения головного мозга: виды, причины, симптомы, диагностика и лечение
Лучшие Рецепты
Ленивые пельмени: обваливаем в муке и варим
Здоровье
Медикаментозное лечение — это… Формы, способы и средства лечения
Лучшие Рецепты
Картофельный рулет с сыром и ветчиной. Быстро и просто!
Идеи маникюра
Идеи для маникюра с полосками ( стильно и привлекательно)
Здоровье
Сухой имбирь. Как я его использую для укрепления здоровья
Здоровье
Мед с куркумой: самый мощный антибиотик в мире, который даже доктора не смогли объяснить
Лучшие Рецепты
Конфеты «Сливочная помадка»
Пагинация записей
Назад
1
…
99
100
101
…
182
Далее